| 月 | 火 | 水 | 木 | 金 | 土 | 日・祝 | |
|---|---|---|---|---|---|---|---|
| 10:00-13:30 | 年中無休で診療いたします (年末年始などを除く) |
||||||
| 14:30-19:30 | |||||||
こんにちは
江東区東大島にある歯医者
ハートリーフ歯科クリニック東大島 ブログ担当です♪
今回は、オフィスホワイトニングの経過も含む症例をご紹介します。
歯の白さは、口元の印象を大きく左右します。
また、歯並びが整っていても、色味が気になる方は多いです。
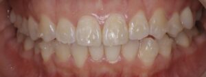
今回の患者様(30代女性)は歯の色調改善を目的に施術を行いました。

術前は、歯全体に軽度の黄ばみが見られました。
また、エナメル質由来の白濁が一部に存在していました。
白濁はむし歯ではなく、歯の性質によるものです。
光の当たり方で目立つことがあります。
歯の色を明るくしたいとのご希望がありました。

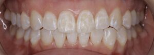
1回目の施術後、歯のトーンは明らかに上がりました。
全体的に明るく、清潔感のある印象になりました。
一方で、元々あった白濁がやや目立ちました。
歯が白くなることで、色の差が強調されたためです。
ホワイトニング後に白濁が目立つことは珍しくありません。
また、歯が一時的に乾燥することも原因の一つです。
この変化は、時間とともに落ち着くことが多いです。
回数を重ねることで、なじむケースも多くあります。

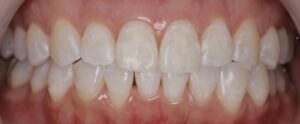
2回目の施術では、さらにトーンアップしました。
歯全体に透明感のある白さが出ています。
1回目で気になっていた白濁も目立ちにくくなりました。
周囲の歯の色となじんだ印象です。
また、ホワイトニングは白さだけでなく色調も整えます。
完全に消えなくても、自然に見えることが大切です☺️
全体のバランスが取れた仕上がりになりました✨
患者さまにもご満足いただけました
オフィスホワイトニングは即効性が高い施術です。
個人差はありますが、短期間で変化を実感しやすいのが特徴です。
歯科医院で行うため、安全性にも配慮できます♀️
歯の状態を確認しながら進められます。
白濁やしみなどの変化にも対応可能です。
そのため一人ひとりに合わせた施術が行えます✨
歯の白さは、第一印象に大きく影響します。
白濁があっても、改善が期待できる場合があります☺️
また、回数や方法を調整することが大切なってきます。
自然で美しい白さを目指しましょう✨
オフィスホワイトニングが気になる方は、ぜひ一度ご相談ください
当院では状態に合わせたご提案を行っています✨
薬事法によりセルフホワイトニングでは使用できない、歯科医院のみで使用が認められた医療用の薬剤使用
詰め物・被せ物の人工物はそのまま色が残りますので、術後に色を合わせて作り直すことが必要です。
妊娠中・妊娠の可能性の高い方・授乳中・無カタラーゼ症・小児(ホワイトニングは十分に形成されたエナメル質が必要です。おおよそ16歳以上であれば保護者の同意があれば施術可能です。)
ホワイトニングの術中または術後に刺激を感じられる方がおられます。
歯の厚みや状態(傷/摩耗/欠けているなど)によって、この刺激の度合いは変わってきますが、一過性のものですのでおおよそ24時間で治まるケースがほとんどです。
漂白を行うことで、歯の中の着色物は分解されますが、日常生活の中で再び着色が起こりますので、定期的なホワイトニングをおすすめします。
また回数を重ねることで更に白さが増し、長持ちする傾向があります。
再着色の度合いは、歯質や食生活によってかなりの個人差が出てきますので、患者様ご自身で「色が付いてきたな」と感じられた時がリピートのタイミングです。
☆再着色予防のためには、術後のケアーが重要
ホワイトニング直後は、歯の表面を覆っている皮膜が一時的に除去されているため、通常より着色しやすい状態になっています。
術後24時間は色の濃い飲食物や喫煙を控え、その後はホワイトニング用歯磨材などの使用をおすすめします。
「自分の歯はどのくらい白くなる?」
そんな疑問がある方も、まずはお気軽にご相談ください☺️
自然で清潔感のある白さを、一緒に目指していきましょう✨
◇東京流通センター歯科クリニック◆
https://trcdc.com
◆ハートリーフ歯科クリニック東大島◇
https://heartleaf-dc.jp
◇ビーノ御徒町歯科クリニック◆
https://bino-dc.jp
◆ココロ南行徳歯科クリニック◇
https://kokoronangyo-dc.jp
◇人形町駅前クロス歯科・矯正歯科◆
http://umygame4.xsrv.jp/ningyocho/
タグ: オフィスホワイトニング