| 月 | 火 | 水 | 木 | 金 | 土 | 日・祝 | |
|---|---|---|---|---|---|---|---|
| 10:00-13:30 | 年中無休で診療いたします (年末年始などを除く) |
||||||
| 14:30-19:30 | |||||||
こんにちは
江東区東大島にある歯医者
ハートリーフ歯科クリニック東大島 ブログ担当です♪
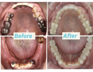
今回は、フルマウス症例のご紹介です。


レントゲン写真
こちらの患者様(70代女性)は初診時は、
下の奥歯は両側とも、ほとんど歯がない状態でした。
また、上の歯にも欠損や治療が必要な部分があり、
お口全体で噛むことが難しい状況でした。
残せる歯はできるだけ保存し、欠損している部分にはインプラント治療を行いました。
銀歯だったところは、外して中をきれいに整えたうえで、
フルジルコニアの被せ物を入れています。
同時に、歯周病治療やクリーニングを進め、歯ぐきの状態も整えています。


最終的には、お口全体でしっかり噛める状態を目指した治療です。
治療期間:2024年6月~2025年8月
担当医:齋藤理事長
治療終了後も、定期的な検診とクリーニングで良い状態を維持していきます✨
歯がなくなってしまったからと言って、
あきらめる必要はありません☺️
フルマウス治療で、お口全体を整えて
もう一度「しっかり噛める」状態を目指すことができます✨
「自分の場合はどうなんだろ」
そう感じた方は、まずはお気軽にご相談にいらして下さい☺️
フルマウス治療は、治療範囲が広い為、時間や費用がかかる治療です。
だからこそ、お口の状態をしっかり確認したうえで、
治療内容や期間、費用についてカウンセリングで丁寧にご説明させていただきます
育芯会では、全ての患者様に安心して診療を受けていただけるよう、
感染管理の研修を行い、
「正しい感染管理システム」、「常に清潔なクリニック」を心がけています。
今後も徹底した感染管理を行っていきますので、安心してご来院下さい。
皆さまのご来院心よりお待ちしております
当院での無痛治療には、うとうとした状態で治療を受けていただく静脈内鎮静法と完全に意識のない状態で治療を受けていただく全身麻酔法があります。
静脈内鎮静法は、点滴から鎮静薬を投与し、歯科治療中に感じる不安や緊張を和らげリラックスした状態で治療を受けていただく方法です。
鎮静中は、ぼんやりとした状態ですが完全に意識がなくなるものではありません。
全身麻酔法は、他の麻酔方法と比べより深い麻酔深度となり、完全に意識がなくなり痛みや刺激を全く感じない状態で治療を受けていただく方法です。
投与する薬の作用でご自身での呼吸が抑制されるため人工呼吸(呼吸の補助)が必要となります。
中でも全身麻酔法の設備は高額で、麻酔専門の歯科医師もいないと治療がおこなえないためほとんどの歯科医院では設備が導入されておらず全身麻酔法をうけることはできません。
育芯会では人形町駅前クロス歯科・矯正歯科のみでの取り扱いとなります。
設備も整い、麻酔の先生も在籍しておりますので安心して受けていただくことができます✨
歯科恐怖症や嘔吐反射が強く治療が困難な方は、ぜひご相談にいらっしゃって下さい☺️
◆東京流通センター歯科クリニック◆
https://trcdc.com
◆ハートリーフ歯科クリニック東大島◆
https://heartleaf-dc.jp
◆ビーノ御徒町歯科クリニック◆
https://bino-dc.jp
◆ココロ南行徳歯科クリニック◆
https://kokoronangyo-dc.jp
◆人形町駅前クロス歯科・矯正歯科◆
http://umygame4.xsrv.jp/ningyocho/
タグ: フルマウス治療