土、日、祝日、祭日夜19:30まで診療の歯医者。東大島駅徒歩4分ダイエー内の「ハートリーフ歯科クリニック東大島」です。

日・祝
10:00-13:30 年中無休で診療いたします
(年末年始などを除く)
14:30-19:30

高度医療 / 駐車場完備

MENU

ホワイトニングでトーンアップ

こんにちは

江東区東大島にある歯医者

医療法人社団育芯会 ハートリーフ歯科クリニック東大島 ブログ担当です。

 

一回のホワイトニングでも実感!

〜ポリッシングから始めるトーンアップケアを〜

歯のホワイトニングと聞くと、

「時間がかかりそう」「何度も通わないと白くならない」

と思われる方も多いのではないでしょうか。

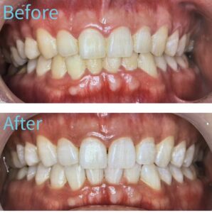
ですが、実は一回の施術でも明るさを実感できるケースが多いんです☺️

今回は、実際に行った「ポリッシング+ホワイトニング」での変化をご紹介します✨

まずは“ポリッシング”から

ホワイトニングを行う前に欠かせないのが「ポリッシング(歯面清掃)」です。

ポリッシングとは、専用のペーストと回転ブラシを使って、歯の表面に付着した茶渋・たばこ

のヤニ・プラーク(汚れ)などをやさしく落とすクリーニング方法です✨

これを行うことで、歯の表面がなめらかになり、ホワイトニング剤がムラなく浸透しやすくなります

また、ポリッシングだけでも本来の歯の色が戻り、くすみが取れてツヤのある歯になります✨

その後にホワイトニングをプラス

ポリッシング後に行うホワイトニングでは、歯の表面に薬剤を塗布し、光を当てて色素を分解していきます。

一度の施術でも

「歯のトーンが上がった」「全体的に明るくなった」

と感じる方が多く、写真でも違いがはっきり分かるほど✨

写真のように、くすみが取れて自然な白さに仕上がるのが特徴です✨

人工的な白さではなく、“清潔感のあるナチュラルホワイト”を目指したい方におすすめです☺️

患者さまの声

「1回でこんなに変わると思わなかった!」

「ポリッシングのあと、鏡を見るのが楽しくなりました」

「ホワイトニングって痛いイメージだったけど、しみることもなく安心でした」

このようなお声を多くいただいています

育芯会では、患者さまの歯の状態や希望の白さに合わせて、ホワイトニングの回数やホームホワイトニングとの併用などご提案させて頂いております。

 

定期的なケアで白さをキープ

ホワイトニングの効果を長く保つためには、定期的なポリッシングがポイントです。

着色の原因になるコーヒー・紅茶・ワインなどをよく飲む方は、3〜6ヶ月ごとのクリーニングがおすすめです。

日常のブラッシングと合わせて、歯の美しさと健康を維持していきましょう☺️

ポリッシングで汚れをしっかり落とし、ホワイトニングでトーンアップ✨

たった一度でも明るくきれいな歯を実感できます☺️

笑顔がより映える、そんな口元づくりをお手伝いします

 

 

☆育芯会が行う無痛治療(静脈内鎮静法、全身麻酔法)のご紹介☆

 

当院での無痛治療には、うとうとした状態で治療を受けていただく静脈内鎮静法と完全に意識のない状態で治療を受けていただく全身麻酔法があります。


静脈内鎮静法は、点滴から鎮静薬を投与し、歯科治療中に感じる不安や緊張を和らげリラックスした状態で治療を受けていただく方法です。

鎮静中は、ぼんやりとした状態ですが完全に意識がなくなるものではありません。


全身麻酔法は、他の麻酔方法と比べより深い麻酔深度となり、完全に意識がなくなり痛みや刺激を全く感じない状態で治療を受けていただく方法です。

投与する薬の作用でご自身での呼吸が抑制されるため人工呼吸(呼吸の補助)が必要となります。
中でも全身麻酔法の設備は高額で、麻酔専門の歯科医師もいないと治療がおこなえないためほとんどの歯科医院では設備が導入されておらず全身麻酔法をうけることはできません。

育芯会では人形町駅前クロス歯科・矯正歯科のみでの取り扱いとなります。

設備も整い、麻酔の先生も在籍しておりますので安心して受けていただくことができます

歯科恐怖症や嘔吐反射が強く治療が困難な方は、ぜひご相談にいらっしゃって下さい☺️

 

育芯会では、全ての患者様に安心して診療を受けていただけるよう、感染管理の研修を行い、

「正しい感染管理システム」、「常に清潔なクリニック」を心がけています。

今後も徹底した感染管理を行っていきますので、安心してご来院下さい。

皆さまのご来院心よりお待ちしております

 

◆東京流通センター歯科クリニック◆

https://trcdc.com

◆ハートリーフ歯科クリニック東大島◆

 https://heartleaf-dc.jp

◆ビーノ御徒町歯科クリニック◆

 https://bino-dc.jp

◆ココロ南行徳歯科クリニック◆

 https://kokoronangyo-dc.jp

◆人形町駅前クロス歯科・矯正歯科◆

http://umygame4.xsrv.jp/ningyocho/